slider

Implants

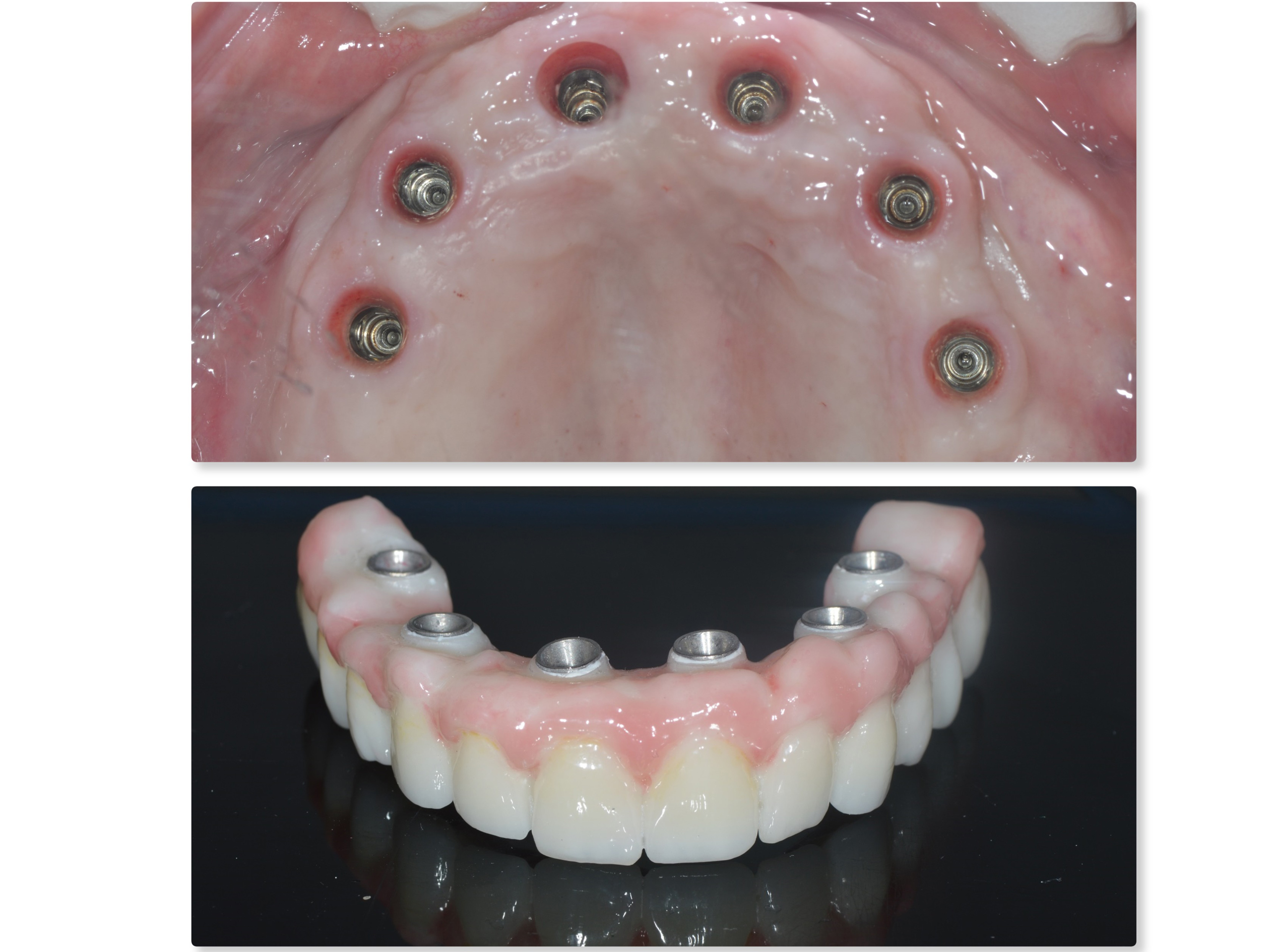
A Dental implant s a titanium post(like a tooth root) that is surgically positioned into the jaw bone beneath the gum line that allows your dentist to mount replacement teeth or a bridge into that area. Dental implants also benefit general oral health because they do not have to be anchired to other teeth, like bridges, Because implants fuse to your jaw bone they provide stable support for artificial teeth.

Best Dental Implant Clinic in Secunderabad
Best Dental Implant Clinic in Secunderabad
Best Dental Implant Clinic in Secunderabad
Best Dental Implant Clinic in Secunderabad
Best Dental Implant Clinic in Secunderabad
Best Dental Implant Clinic in Secunderabad

Best Dental Implant Clinic in Secunderabad